Eyelid Lift
- Eyelid Lift
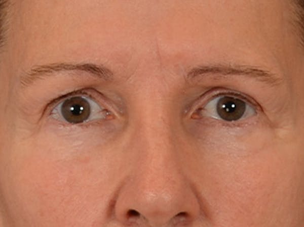
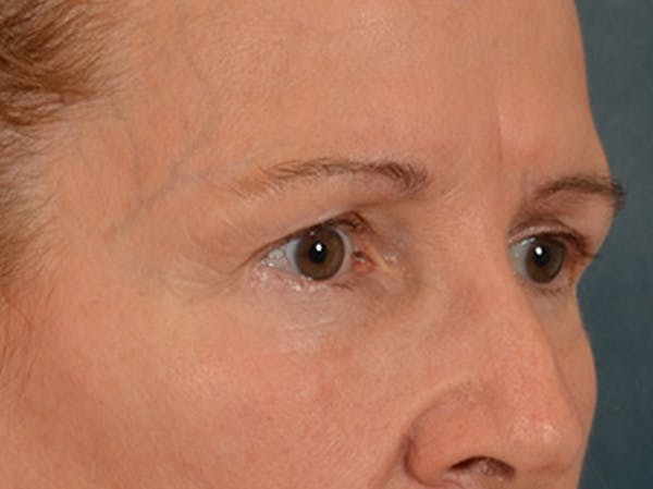
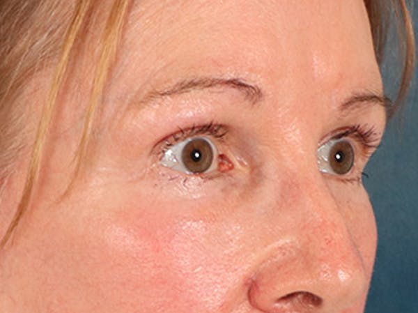
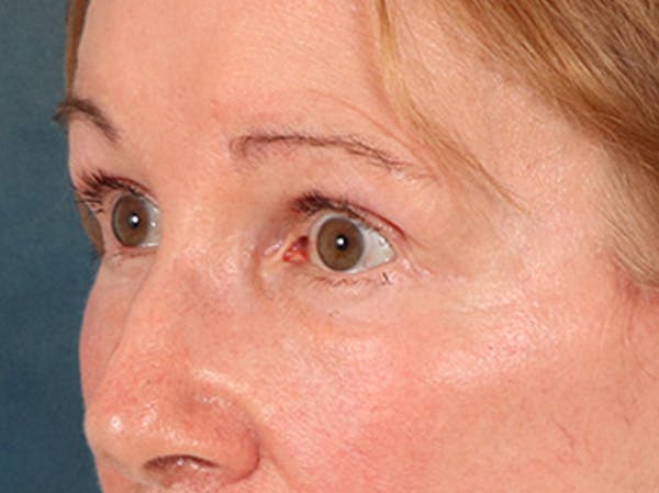
Eyelid Lift Gallery Patient 180291















Eyelid Lift
-
Patient
- Age: 70 years old
- Gender: Female
- Timeline: 5.5 Months Post
-
Procedure
- Deep Plane Facelift with Neck Lift and CO2, Blepharoplasty Upper & Lower with FG, Endoscopic Brow Lift, Earlobe Reduction, Lip Lift
-
Patient ID
- 1785383
Procedure Details
This wonderful 70-year-old patient was concerned about pronounced jowling in her lower face and "heavy" eyelids. Dr. Starkman performed a Deep Plane Facelift with Neck Lift, CO2 laser resurfacing, Upper and Lower Blepharoplasty with Fat Grafting, an Endoscopic Brow Lift, Earlobe Reduction, and a Lip Lift. She is shown here 5.5 months post-op.
« Previous
Next »