- Eyelid Lift
Eyelid Lift Gallery Patient 141137956















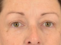
Upper Blepharoplasty
-
Patient
- Age: 63 years old
- Gender: Female
-
Procedure
- Facelift with Temporal Lift, Upper Blepharoplasty, CO2 Laser Resurfacing
Procedure Details
The patient is a wonderful 63-year-old woman who was being seen for facial aging. She was bothered by the loose skin along her lower face, jowls, and neck. She also felt that her upper eyes were feeling heavy, and that she was looking tired. Dr. Starkman treated her with a facelift with temporal lift, upper blepharoplasty, and CO2 laser resurfacing. She is shown here 4 months following her procedure.
« Previous
Next »